全プラン標準で、
フルジルコニアの
人工歯を使用
追加料金ナシで、最高級の歯を
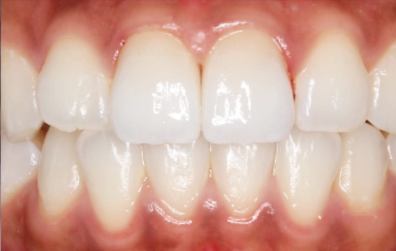
クリア歯科のインプラント補綴は、全てのプランにおいて「フルジルコニア」を標準採用しています。金属を超える圧倒的な耐久性と、生体親和性の高さ、そして経年劣化に対する耐性。現代インプラント治療における最適解を、追加コストなしで提供します。色彩も5段階のシェードから、最も自然な色調をセレクト可能です。
内製化によるコストパフォーマンスの最大化
通常は高コストなフルジルコニア補綴を、適正価格で提供できる理由は、専属ラボ「メディカル歯科技工所」による一貫生産体制にあります。外注コストやタイムロスを排除し、その還元分を価格に反映。品質管理も徹底されており、高精度な技工物をスピーディに提供可能です。
クリア歯科専属ラボ メディカル歯科技工所
専属ラボ「メディカル歯科技工所」は、単なる製作拠点ではなく、医療チームの一部です。最新設備と、臨床現場とのダイレクトなコミュニケーション。ドクターの意図を正確に汲み取り、ミクロ単位の調整を行うことで、理想的な補綴物を創出します。
クリア歯科のドクターを支える歯科技工士が10名所属。ブレーンベース社の公認歯科技工士も在籍しています。
オーラルスキャナーやCAD /CAM、3Dプリンターなど、充実の設備やデータ通信により、スピーディに作製可能。インプラント人工歯は、年間約2,000本作製しています。
歯科医師や歯科衛生士と密な連携を取り、ケースにより診察にも同席するなど、患者様に寄り添う作製環境を整えています。
最短で来院2回で最終の詰め物を入れることができます。
厳選のインプラントメーカー
インプラントの予後は、使用する製品の品質に大きく左右されます。クリア歯科では、100社以上のメーカーを比較検討し、長期的な臨床データと科学的根拠(エビデンス)が確立された、世界基準および国産最高峰のシステムのみを導入しています。
ストローマン社
インプラントにおける世界トップシェアを誇る、スイスのインプラント研究開発メーカーです。革新的な技術力で、多くの患者様と歯科医師の信頼を得ています。
straumann® Pure(ピュア)
世界トップシェアを誇るストローマン製の100%フルジルコニア製のインプラント。金属アレルギーの患者様でも使用可能で、耐久性・審美性共に優れています。
※厚労省の認可が下りていない製品のため(2022年12月時点)、保証対象外となっております。
※厚労省の認可が下りていない製品のため(2022年12月時点)、保証対象外となっております。
ノーベルバイオケア社
近代インプラントの父・ブローネマルク教授が発見した「骨に結合する歯科インプラント」を世界で初めて製品展開した、近代インプラントシステムのパイオニアです。
ブレーンベース社
純国産メーカーであり、日本人の顎の骨に適したインプラントが特徴。国産インプラントで唯一、FDA(アメリカ食品医薬品局)の認可を受けた製品を使用しています。
まずはお気軽に
あなたの悩みをお聞かせください
あなたの気持ちに寄り添い、
最適な解決策を一緒に考えます。
まずはお気軽にご相談ください。
最適な解決策を一緒に考えます。
まずはお気軽にご相談ください。
取り扱いジルコニアについて
クリア歯科が人工歯に採用しているジルコニアは、人工ダイヤモンドと言われるほどの強度と耐久性を誇り、近年歯科業界で一番注目を集めている素材です。
強度以外にもオールセラミックと同じように変色が少ないなどの特性を持つ、最高級クラウンです。
強度以外にもオールセラミックと同じように変色が少ないなどの特性を持つ、最高級クラウンです。
フルジルコニア (クリア歯科で採用)
内側から外側まですべてジルコニア素材を使用しています。金属を使わないため、金属アレルギーの方にも最適で、チタン並みに人体との親和性があります。5色から選ぶことができ、ご自身の歯に近い色のものを用いて、人工歯を作製いたします。
ジルコニアボンド
技工物の表面に透明感のあるセラミックを焼き付けたもので、フルジルコニアと異なり、色を自由に調整できるのが特徴です。自然な透明感を出すことができるため、強度に加えて審美性を求める患者様に適した、最高級の素材です。
マルチレイヤージルコニア
色の異なる層を重ねたマルチレイヤ―ジルコニアは、天然歯に近い色調のグラデーションが特徴です。従来のジルコニアと違い、色に深みが出るため、より本物に近くなります。特に審美性が求められる前歯などにおすすめの素材です。
オールセラミック
すべてセラミックから形成される素材の総称です。光を透過するため、まるで天然歯のような透明感があり、年月が経っても変色の少ない素材です。ジルコニアと比べると強度は多少劣りますが、審美性に優れた素材です。
ハイブリッド
セラミックとプラスチックの成分が混ぜ合わされた素材です。セラミックの硬さとプラスチックの粘りを兼ね備えていますが、年数と共に変色・変形してしまうデメリットもあります。
被せ物のメリット&デメリット
|
クリア歯科で採用
フルジルコニア
|
ジルコニア
ボンド |
マルチレイヤー
ジルコニア |
オール
セラミック |
ハイブリッド
|
|
| 硬さ | |||||
| 曲げ強度 | |||||
| 色調 | |||||
| 変色 | |||||
| 価格 |
少し高め |
高額 |
高め |
高め |
安め |
審美オプション
ジルコニアボンド
周りの歯と完全に同化させます!
フルジルコニアフレームに陶材をレイヤリングする手法により、隣在歯との完全なカラーマッチングを実現します。セラミックが持つ光学特性(透明感・透過性)により、人工物特有の不透明感を排除。前歯部審美修復におけるゴールドスタンダードです。
ジルコニア アバットメント
歯茎の黒ずみにサヨナラ
アバットメント(接続部)を金属からジルコニアに変更することで、歯肉縁下の美しさを担保します。金属色の透過(メタルタトゥー)を防ぐだけでなく、ジルコニアの優れた生体親和性が歯肉の健康を維持。長期的な審美安定性を求める症例に推奨されるアップグレードです。


